患者男性,83岁,发现肺部占位入院。其胸部CT提示右肺上叶肿块,纤支镜未能取到病理结果、建议进一步检查,呼吸内科评估后考虑肿块为恶性肿瘤的可能性大,需要进一步行活检以明确病理诊断。在征求家属意见后,超声诊断中心为其进行超声造影联合超声定位下肺肿块穿刺活检,该患者肺部病灶位于右肺上叶,结合不同频率超声探头检查,清晰显示了病灶内部结构及血流灌注情况。造影结束后,初步判断该肿物为恶性肿瘤的造影模式,在超声引导下,避开病灶大血管及坏死区,穿刺针取出肺部病变适量标本,活检病理结果提示鳞状细胞癌,为该患者的下一步诊治提供了充分依据。
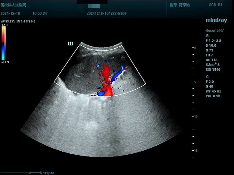
▲常规超声表现:右肺上叶肿块


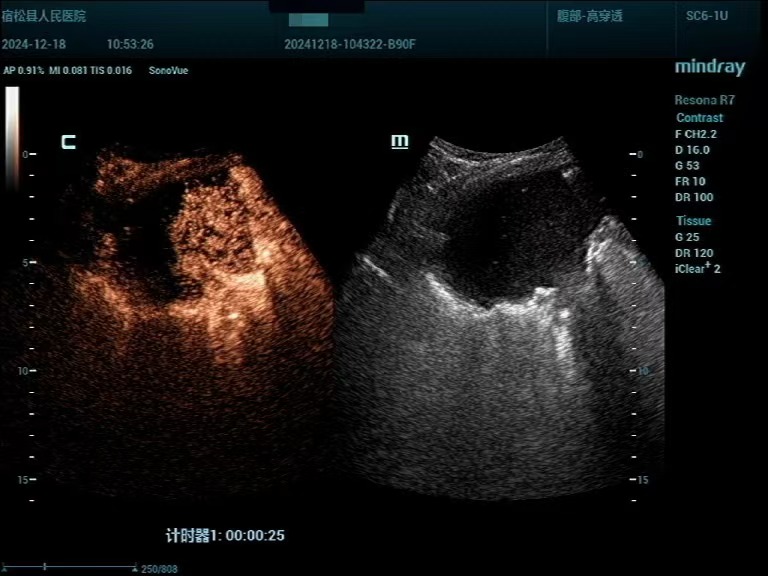
▲超声造影:右肺上叶团块超声造影符合肺Ca伴坏死表现

▲根据超声造影结果,超声引导下对活性病变组织取材
什么是超声造影
超声造影又称声学造影,是在常规超声检查基础上,通过静脉注射超声造影剂,实时、动态地观察组织微血管灌注信息,超声造影引导下穿刺活检可以提高病变的检出率及穿刺的安全性,并对病变的良恶性进行鉴别。
“超声引导下周围肺病变穿刺活检技术是从体表进针刺入肺内抽取肺组织进行细胞学检查的一项技术,超声引导具有设备简单、操作灵活、调整穿刺角度方便、避免接受射线等优势,通过超声引导动态观察穿刺针进入病灶情况,更准确地掌握进针方向和深度,实时显示穿刺全过程,安全准确,并发症少,现更易被临床、患者及家属接受。”超声诊断科吴飞医生介绍说。
超声造影的优势和在临床工作中的应用
临床工作中,很多患者会有不解,既然要穿刺为什么还要做超声造影呢?其实常规超声引导肺病变穿刺也有一定的局限性,由于肿瘤生长过程中常出现因瘤内供血不足所致的组织坏死和液化,而常规超声常不能准确区分病灶内活性和坏死区域,可能造成取材不正确或存在假阴性。超声造影技术就能够很好地改善这些问题。超声造影剂使用剂量小,无须皮试,无肝肾毒性,造影剂主要经肺代谢,不通过肾排出,具有较高的安全性。超声造影技术通过正常肺组织与病灶微气泡灌注的时间差异,鉴别肺实变组织与肿瘤组织。其通过微循环的灌注可以清晰显示肿瘤内部及穿刺路径上的大血管,规避不必要的误穿误伤;同时,还可以清晰显示肿瘤内的坏死,指引取材的最佳区域。总的来说,穿刺前做造影,能够筛选出一些不需要穿刺的病变,需要穿刺的病变在超声造影引导下穿刺活检可提高穿刺的安全性,取材的准确性及成功率。
超声造影联合超声引导下穿刺活检技术已成为临床上非常成熟的诊疗手段,通过超声造影能清晰显示病变大小、形态、内部血流灌注情况,通过精确引导,为医生提示进针部位、角度和深度,避免损伤血管、神经等,大大提高了介入操作的安全性、成功率,同时也为临床制定治疗方案提供了重要指导意义。