近日,我院为一名右髋关节45年一直不能动的张大爷实施融合髋全髋关节置换术,术后三天患者就可以在助行器辅助下行走了。
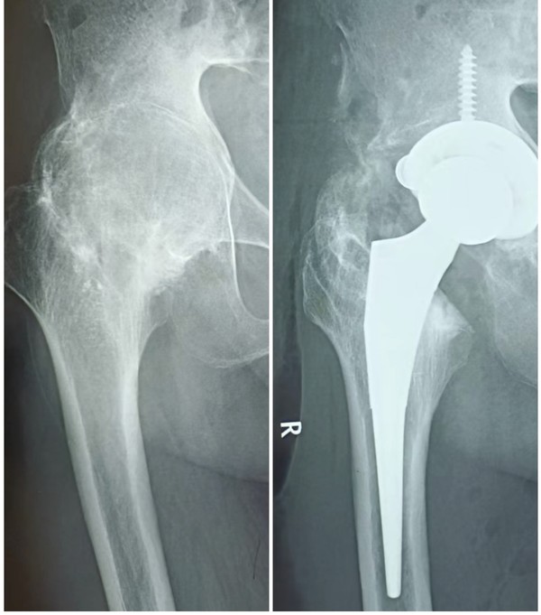
患者张大爷,65岁,因45年前外伤致右侧髋关节融合,不能正常坐凳子,不能下蹲,严重影响生活,多次就诊保守治疗无效,我院骨一科副主任夏百红接诊后决定予以收住入院手术治疗。因该手术难度大,术中暴露及关节周围软组织松解困难,入院后甘德军主任组织科内讨论及风险评估,在做好充分术前准备的情况下,在院麻醉科、手术室的协助下,夏百红副主任、甘德军主任凭借着丰富的经验和细致的操作,为患者行右侧人工全髋关节置换手术,手术过程顺利。

术后经骨一科医护团队的精心治疗护理,患者的病情一天天好转,右侧髋关节活动度较术前明显改善,生活质量得到大幅提高,患者对手术效果满意,取得了较好的临床效果。