
近日,一例高难度肾错构瘤破裂出血患者在我院介入治疗后顺利康复出院。
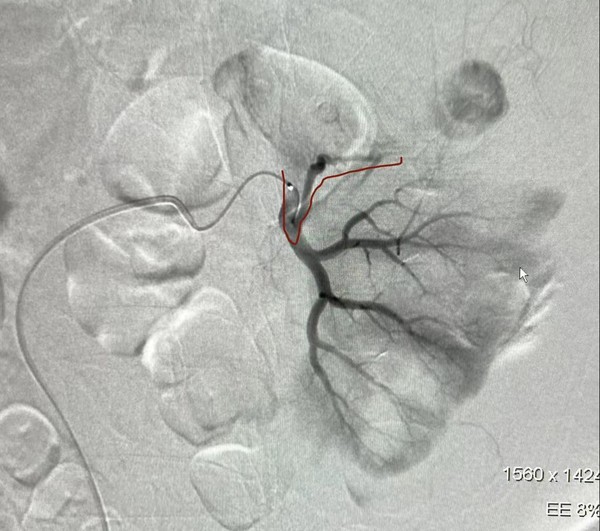
患者女,69岁,系高难度肾错构瘤患者,因肿瘤较大,外科手术难以剥离,经与患者及家属沟通后决定急诊实施介入治疗。一月后,为了巩固疗效,预防肿瘤生长后再破裂、减少复发的风险,3月2日,患者在我院继续针对全部肿瘤血管栓塞治疗。行DSA造影见肿瘤血供丰富,上次栓塞后的左肾上前段动脉对肿瘤供血明显,依次逐一栓塞其它血管后,采用多种导管模式仍无法超选该血管,术中血压一过性上升至210/120mmHg,请心内科会诊,采用冠脉球囊临时阻断下前段动脉远端正常血供后,注射明胶海绵颗粒顺利全部进入该血管达到完整栓塞目的。

介入治疗以微创、高效、安全、并发症少为特色,最大程度保护了原有器官和组织功能,为让手术做到更加精准。我院通过多学科协作,发挥集体的智慧,拓宽思路,让患者享受高质量服务,托起了生命的希望。