“真的太神奇咯,困扰我这么久的巨大肝囊肿,肚子上打个针就给我治好了!”在宿松县人民医院超声介入室里,熊阿婆开心地和儿子说着自己的治疗感受。
今年85岁的熊阿婆在数年前的一次体检中发现肝脏多发囊肿,囊肿给她的生活带来了诸多困扰。起初囊肿还小,身体并没有什么不适症状。随着囊肿的增大,熊阿婆上腹隐痛不适、吃点东西就有胃胀、难受的症状,于我院外科门诊就诊。
上腹部彩超:显示肝脏多发性囊肿,肝左叶最大囊肿已达151*133*98mm(体积:约1030ml),足足有一个西兰花那么大。巨大的肝囊肿压迫了周围组织结构,引起患者上腹部不适症状,并严重影响其生活。如果不及时处理,囊肿可能继续增大,遇外力挤压导致破裂出血,甚至可能危及患者生命,治疗迫在眉睫。
以往,治疗肝囊肿的传统方法为开腹或腔镜下肝囊肿去顶开窗术,但对于老年人和伴有较多基础疾病的患者来说风险较大、恢复较慢、住院时间也较长,外一科石主任推荐行介入超声肝囊肿硬化术。经超声介入室吴飞医生综合评估,完善相关检查后:决定门诊为85岁的熊阿婆实施“超声引导下肝囊肿穿刺硬化术”对巨大肝左叶囊肿进行治疗。
手术中,经超声精确定位,局部麻醉,有丰富介入与穿刺经验的吴飞医生和杨翠桥护士熟练操作配合,穿刺引流管精准到位,抽出20ml囊液做蛋白定性试验(+),囊内注入造影剂、超声造影显示囊肿与肝内胆管不相通,由于囊肿过于巨大,一次抽完对身体不利,计划分多次引流,总共引流量达1000ml,再用硬化剂冲洗囊腔,使囊壁纤维化不再分泌囊液而达到治疗目的。

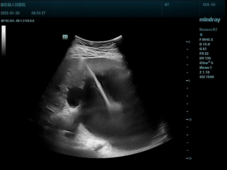
▲1.治疗前超声显示 ▲2.穿刺针经皮肝进入囊肿内

▲3.超声实时监测穿刺导丝、引流管进入囊肿,安全可靠 ▲4.抽出20ml囊液行蛋白定性实验(+)

▲5.术中超声造影显示与肝内胆管不相通 ▲6.治疗结束后超声显示囊肿缩小至不足1cm

▲7.患者体表针眼大小伤口
这种超声引导下介入新疗法准确性高,不仅创伤小,患者痛苦少,而且手术时间短。经过40分钟治疗后的熊阿婆,达到了预期的手术效果。术后休息30分钟,熊阿婆即可下床活动。一根小小穿刺针,解决了困扰她多年的大“囊”题。
自2022年来,宿松县人民医院超声医学科已开展超声引导下肝、肾囊肿,甲状腺囊肿、乳腺囊肿,腘窝囊肿、血清肿等各类囊肿穿刺硬化治疗近百余例,疗效显著!
医学科普
01 什么是囊肿?
囊肿是人体常见的良性病变,通俗点说,就是“水泡”,其内容物是不同性质的液体,大小几毫米到几十厘米不等。当囊肿直径超过10cm时,临床上称之为巨大囊肿,此时囊肿由于体积巨大,对周边脏器造成压迫,从而影响患者的正常生活,需及时治疗。常见有肝囊肿、肾囊肿、甲状腺囊肿、乳腺囊肿等,较小的囊肿无需治疗,体积较大的囊肿应及时治疗,避免出现压迫神经血管等组织引起疼痛不适,一旦破裂还可出现出血、感染等。
02 什么是超声引导下囊肿穿刺抽液硬化治疗?
是指在实时超声引导下,将穿刺针刺入囊肿内,将囊液抽出后,注入无水乙醇、聚桂醇等硬化剂,破坏囊壁细胞,使其分泌功能丧失,后期囊壁塌陷、萎缩吸收,从而达到缩小或消除囊肿、改善症状的目的。
适用于各类囊肿,浅表囊肿如甲状腺囊肿、腘窝囊肿、乳腺囊肿等;体内囊肿如肝囊肿、肾囊肿等。
03 超声引导下囊肿穿刺抽液硬化治疗适应症
➤肝、肾囊肿的直径≥ 5cm或直径大于4cm有不适症状者;
➤囊肿合并出血或感染;
➤多囊肾、多囊肝,消除大囊腔压迫预防破裂;
➤甲状腺囊肿、乳腺囊肿≥2cm;
➤能够耐受治疗,有经皮穿刺路径者。
04 超声引导下囊肿穿刺抽液硬化治疗禁忌症
➤凝血机制不良、有出血倾向者;
➤酒精过敏者(应用无水乙醇硬化治疗);
➤女性月经期;
➤肝囊肿与胆道相通者,肾囊肿与肾盂相通者;
➤恶性囊性肿瘤或性质不明者;
➤合并其他严重疾病,不能合作者。
05 超声引导下囊肿穿刺抽液硬化治疗的优势
超声引导下肝囊肿穿刺硬化术是一种安全、有效、微创的方法,不仅减少了外科手术带来的痛苦与风险,而且达到与外科手术相媲美的治疗效果,具有以下优点:
▶微创无痛,不留疤痕;
▶手术快捷,费用低廉;
▶安全、不伤及正常组织;
▶不影响器官功能。
▶术中超声引导,实现可视化操作,精准规范。
目前,超声引导下囊肿穿刺硬化术由于其对人体伤害较小,方便快捷,已为广大患者所接受。
随着介入超声治疗技术的迅速发展,超声引导下囊肿硬化治疗技术已经得到了广泛的临床应用,成为目前临床首选的微创治疗方法。