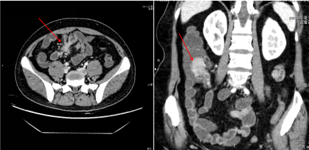
近期我院一例炎症性肠病(考虑克罗恩病)通过增强CT检查及CTE后处理得到明确诊断。
小肠全长约5-7m,走形迂曲,小肠疾病易被漏诊。传统用于小肠检查的小肠镜和胶囊内镜,小肠镜经口检查,患者痛苦,且不能观察小肠全貌及血管,仅局限于小肠粘膜面病变;胶囊内镜检查昂贵,无法精准定位,有嵌顿等风险。而小肠CT造影(CTE)成像技术清晰,无明显并发症,是一种方便、快捷、无创、痛苦小的检查手段,已被认为小肠疾病的首选检查。
小肠CT造影采用口服等渗肠道阴性对比剂充盈扩张肠腔,减少肠道充盈欠佳导致的肠壁假性增厚,并通过静脉注射对比剂使肠壁及肠粘膜强化,提高疾病检出率,并评估肠腔外淋巴结、肠系膜及窦道等。另外小肠CT造影可利用后处理血管重建技术,评估腹部血管。
小肠CT造影主要用于原因不明的消化道出血;反复发作的肠梗阻;原因不明的腹痛、腹泻及大便习惯及性状改变;已有检查怀疑小肠病变,例如肠道肿瘤,炎性肠病,血管性肠病等;小肠病变的治疗后评估。

克罗恩病伴内瘘形成 淋巴瘤
注意事项:检查前一日晚低渣半流质饮食,晚8点开始服用缓泻溶液进行胃肠道清洁,检查前禁食8小时以上。检查前1小时左右口服中性对比剂溶液2000ml以充盈肠道。医生开单项目:腹盆腔CT平扫及增强
肠穿孔慎用;CTE检查后24小时内不建议行电切手术治疗及电切肠镜治疗;完全性肠梗阻的病人不需要口服对比剂。
检查地点:优米nba直播CT室
咨询电话:0556-7849620 13866440595(张医生)